
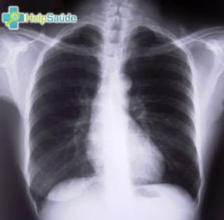
Pneumonia
O que é?...

O que é?...

O que é coqueluche?...

Qual a diferença entre gripe e resfriado?...

O QUE É GRIPE H1N1?...

A chegada do inverno com baixas temperaturas já anuncia uma temporada muito difícil para algumas pessoas. É nessa época do ano que usamos casacos empoeirados qu...